Home >> News >> News

微科研 | 安迈康凝结芽孢杆菌BC66在肉仔鸡养殖中的应用

本站    2022-01-06 13:49:49

3.jpg


前言


防治家禽养殖过程中的肠炎沙门氏菌病,是目前公共卫生的重要研究热点。随着我国“饲料禁抗”政策的实施,新型、绿色、无污染的微生态制剂应用越来越多。微生态制剂如乳酸菌、芽孢杆菌等,具有促进消化、调节肠道菌群及改善畜禽肠炎等作用,应用效果也逐渐得到了畜牧行业的认可。


河南安迈康生物科技有限公司:聚焦农牧微生态,专注养殖、种植环节的微生物菌种应用,为客户提供发酵、动保、植保等多领域的服务,促进动物健康与生态农牧业可持续发展。


试验过程



试验方法

选取健康的肉仔鸡120只,随机分为4组进行饲喂观察,共计7d。观察凝结芽孢杆菌BC66和沙门氏菌攻毒对肉仔鸡生长情况、肠道粘膜和肠道免疫的影响。


表1 凝结芽孢BC66试验分组

4.jpg



试验结果:

1)凝结芽孢杆菌BC66促进肉仔鸡生长


表2 凝结芽孢杆菌BC66对肉仔鸡生长性能的影响


5.jpg


分析结果发现,与对照组相比,饲喂凝结芽孢杆菌BC66后,肉仔鸡体重显著提高了9.23%,料肉比降低5.13%。具有促进肉仔鸡生长的效果。


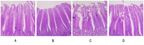
2)凝结芽孢杆菌BC66改善肉仔鸡肠绒毛形态结构


观察发现,与对照组相比,饲喂凝结芽孢杆菌BC66的肉仔鸡肠绒毛形态更完整,有利于饲料养分的吸收。并且,提前饲喂凝结芽孢BC66,能减轻沙门氏菌对肠绒毛造成的损伤,起到保健作用。


6.jpg

图1 肉仔鸡空肠绒毛形态镜检图


A:对照组空肠绒毛形态图;B:处理Ⅰ组空肠绒毛形态图;C:处理Ⅱ组空肠绒毛形态图;D:处理Ⅲ组空肠绒毛形态图。


3)凝结芽孢杆菌BC66提升肉仔鸡肠粘膜免疫水平


数据结果显示,饲喂凝结芽孢杆菌可以显著提升肠粘膜免疫球蛋白IgA的水平。并且,能减少体内炎症因子的表达量,对降低鸡只氧化损伤有帮助。


表3 凝结芽孢杆菌对肉仔鸡肠黏膜免疫的影响


7.jpg

(以上数据源自:朱明明,2021)

            作者:朱明明,潘晶晶,柯轲

            微康益生菌(苏州)股份有限公司,江苏苏州215200


安迈康生物科技有限公司凝结芽孢杆菌BC66

助力饲料产业创新发展

1641540611182538.jpg

凝结芽孢杆菌BC66

采集来源:仔猪肠道

是安迈康自主知识产权的菌株,经由扩培、富集和喷雾干燥等专利技术制备而成,外观呈乳白色或浅黄色。


—菌株特性及优势—

111.jpg


耐受胃酸、胆盐
凝结芽孢杆菌BC66在模拟胃酸pH3.0、胆盐浓度0.3%条件下作用2h,存活率分别达到80%、85%,耐受性能较好。


菌株特性
储存稳定性好室温放置实验(25℃/相对湿度60%)条件下存放24个月,活菌数存活率达到90%,水分仍在5%以下。


抑菌性能优异
凝结芽孢杆菌BC66代谢产物对体外培养的大肠杆菌、产气荚膜梭菌均有很好的抑制作用。